Orthodontia, also known as orthodontics and dentofacial orthopedics, was the first specialty created in the field of dentistry. An orthodontist is a specialist who has undergone special training in a dental school or college after he/she has graduated in dentistry.The specialty deals primarily with the diagnosis, prevention and correction of malpositioned teeth and the jaws.
Orthodontia is the specialty of dentistry that is concerned with the treatment of improper bites and crooked teeth. Orthodontic treatment can help fix the patient's teeth and set them in the right place. Orthodontists usually use braces and clear aligners to set the patient's teeth.Orthodontists work on reconstructing the entire face rather than focusing only on teeth. After a course of active orthodontic treatment, patients will typically wear retainers (orthodontic devices), which help to maintain the teeth in their improved positions while surrounding bone reforms around them. The retainers are generally worn full-time for a period, anywhere from just a few days to a year, then part-time (typically, nightly during sleep) for as long as the orthodontist recommends. It is possible for the teeth to stay aligned without regular retainer wear. However, there are many reasons teeth will crowd as a person ages, whether or not the individual ever experienced orthodontic treatment; thus there is no guarantee that teeth will stay aligned without retention. For this reason, many orthodontists prescribe night-time or part-time retainer wear for many years after orthodontic treatment (potentially for life). Adult orthodontic patients are more likely to need lifetime retention..
These are the metal brackets and wires that most people picture when they hear the word "braces." However, modern brackets are smaller and less noticeable than the notorious "metal-mouth" braces than many adults remember. Plus, new heat-activated archwires use your body heat to help teeth move more quickly and less painfully than in the past
Pros: Least expensive type; colored bands give kids a chance to express themselves
Cons : Most noticeable type of braces
Ceramic braces are the same size and shape as metal braces, except that they have tooth-colored or clear brackets that blend in to teeth. Some even use tooth-colored wires to be even less noticeable.
Pros : Less noticeable than metal braces; move teeth much faster than clear plastic aligners (Invisalign)
Cons: More expensive than metal braces; Brackets can stain easily if patients don't care for them well
Self-ligating braces use a slide or clip mechanism to hold the wire in place, instead of the little elastic coloured ties used in 'normal' braces. As a result these braces allow teeth to move more freely, quickly and comfortably. The elastic coloured ties also attract and collect plaque, and so avoiding these elastic ties makes dental hygiene easier during treatment.
Invisalign consists of a series of 18 to 30 custom-made, mouth guard-like clear plastic aligners. The aligners are removable and are replaced every 2 weeks
Pros : Almost invisible; Patients can eat and drink whatever they want
Cons: Will not work for serious dental problems; treatment may potentially take longer
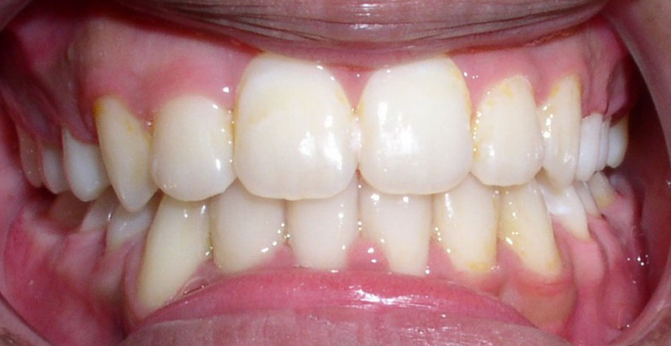
Before

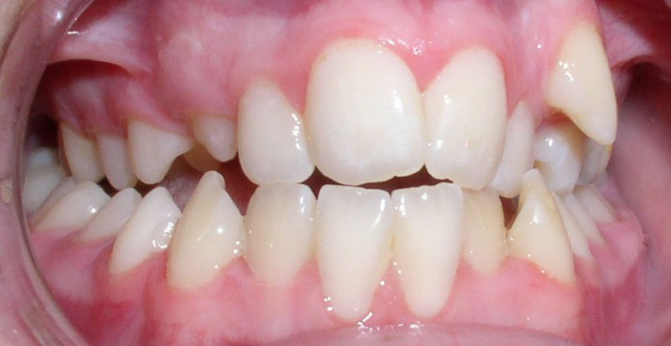
After

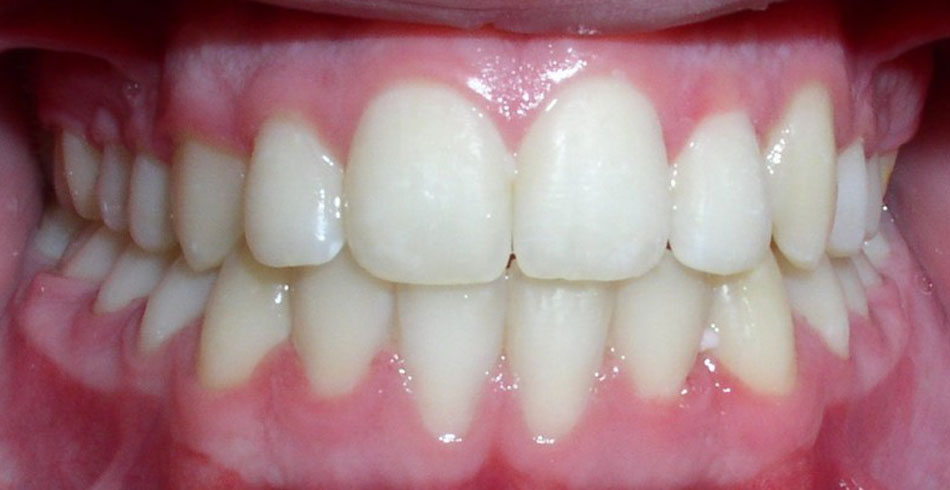
Before

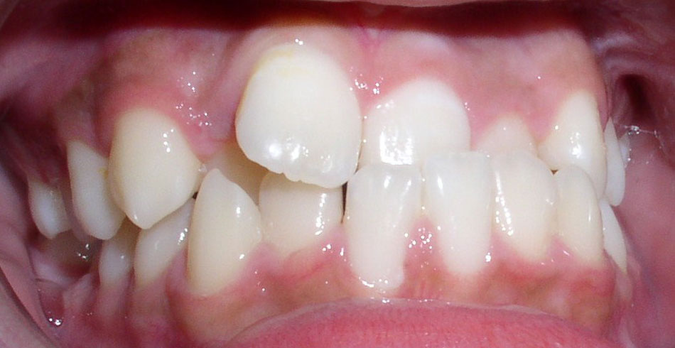
After

Before
After